Ameloblastoma – Causes, Symptoms, Treatment & Herbal Remedies
Abstract
Dental tumors are abnormal growths that develop in the tissues of the oral cavity, including the gums, jawbones, and supporting structures of the teeth. They can be benign or malignant, with benign tumors being more common and often slow-growing, while malignant tumors may be aggressive and invasive. Common signs include swelling, pain, loose teeth, difficulty chewing, and facial asymmetry. Among dental tumors, Ameloblastoma is a benign but locally aggressive tumor. This article explores its clinical features, diagnostic modalities, and management strategies in the contemporary medicinal system and traditional Indian medicinal system of Ayurveda.

Introduction
Ameloblastoma stands as a benign yet locally aggressive odontogenic tumor arising from enamel-forming cells, predominantly in the mandible, characterized by slow expansion, high recurrence potential, and diverse histological patterns. It was first described by Cusack in 1827 and termed by Broca in 1868, represents about 1% of oral tumors and 18% of odontogenic neoplasms, with a peak incidence in the third to fourth decades and slight male predominance. It originates from remnants of odontogenic epithelium, manifesting as solid/multicystic (80%), unicystic (10–15%), peripheral (2%), or malignant variants, each influencing behavior and treatment. Though non-metastasizing in typical cases, its relentless bone resorption demands vigilant intervention to avert extensive disfigurement.
Causes
- The precise etiology remains unknown, but ameloblastoma arises from odontogenic epithelial remnants like the enamel organ, reduced enamel epithelium, or dental lamina, reactivated through genetic mutations.
- Majorly include BRAF V600E mutations (over 60% of cases) activating the MAPK pathway, alongside alterations in SHH, PTCH, and WNT signaling, promoting epithelial proliferation within fibrous stroma.
- Environmental factors such as trauma, infection, or chronic inflammation may trigger dormant cells.
Signs And Symptoms
- The hallmark presents as a painless, progressive jaw swelling, often mandibular posterior (80%), causing facial asymmetry, cortical expansion, and tooth displacement over years.
- Patients report mobile teeth, malocclusion, or “egg-shell” cracking on bimanual palpation due to thinned cortex; advanced lesions provoke pain, paresthesia (inferior alveolar nerve involvement), trismus, dysphagia, or ulceration if perforated.
- Unicystic forms mimic cysts with minimal symptoms, while peripheral types appear as gingival masses; systemic signs like fever or weight loss signal rare malignancy.
Investigations
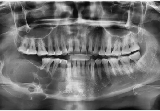
- Orthopantomography reveals multilocular “soap-bubble” radiolucencies with scalloped borders, often encompassing impacted third molars
- CT Scan
- MRI
- Biopsy
- Immunohistochemistry
Management
- Aggressive en bloc resection
- Reconstructive surgery
- Conservative approaches like enucleation with curettage or adjuncts (Carnoy’s solution, cryotherapy) suit unicystic lesions in young patients.
- Radiotherapy
Ayurvedic Aspect And Management
Ameloblastoma, however, has no direct correlation with any mentioned diseases in Ayurvedic texts. However, depending on the signs and symptoms and having a genetic factor responsible for the uncontrolled growth can be understood as beej dushti that can make the condition manifest. Dietary habits, lifestyle and can help the beej dushti to manifest the disease. Moreover, depending on the symptoms and the condition can be understood under the ‘Dantmoolgata Roga’ mentioned in the Sushruta Samhita. Vagbhata has considered 13 diseases of Dantamoolgata.
दन्तमूलगतास्तु- शीतादो, दन्तपुप्पुटको, दन्तवेष्टकः, शौषिरो, महाशौषिरः, परिदर, उपकुशो, दन्तवैदर्भो, वर्धनः, अधिमांसो, नाड्यः पञ्चेति ||
Sushruta Nidana 16/13||
Acharya Sushruta has described 15 types of Dantmoolgata Rogas namely Shitaad, Dantapupputaka, Dantaveshtaka, Shoushira, Mahashoushira, Paridara, Upakusha, Dantavaidarbha, Vardhana, Adhimansa, Vataja Dantanadi, Pittaja Dantanadi, Kaphaja Dantanadi, Sannipataja Dantanadi and Shalyaja Dantanadi.
Management depends on the dosha involvement and shodhana (purification) therapies such as vaman (medicated emesis), virechan (purgation therapy), raktamokshana (blood letting), surgical excisions and kshar karma (chemical cauterisation) and agni karma (thermal cautery) are indicated. The usage of dhoompana (medicated smoking), gandoosha (oil pulling) and kaval (swishing) are also advised in the dantmoolgata rogas. Most commonly used herbs are mulethi (Glycyrrhiza glabra), manjishta (Rubia cordifolia), lodhra (Symplocos racemosa), triphala (three fruits), kamal (Nelumbo nucifera), nagarmotha (Cyperus rotundus), priyangu (Callicarpa macrophylla), agaru (Aquilaria agallocha), chandan (Santalum album), honey, yavkshar (alkaline substance), sajjikshar (alkaline substance), neem (Azaditachta indica), madanphala (Randia dumetorum) etc. The usage of the mentioned items depends on the very predominant dosha and symptoms.
Herbal Remedies For Ameloblastoma By Planet Ayurveda
Planet Ayurveda is a renowned Ayurvedic healthcare brand dedicated to promoting natural wellness through authentic herbal formulations. Rooted in classical Ayurvedic principles, the company develops high-quality, plant-based products designed to support overall health and balance. Offering a wide range of supplements, care packs, and specialized remedies for conditions such as liver disorders, joint issues, digestive problems, and skin concerns, Planet Ayurveda emphasizes purity, safety, and efficacy. By combining traditional wisdom with modern manufacturing standards, it provides reliable, natural solutions for holistic well-being. Planet Ayurveda is pleased to present its list of products for managing Amelonlastoma.
Product List
- Kanchnaar Guggul
- Boswellia Curcumin
- Crab Go Capsules
- Crab Baccata Capsules
- Tumotrim Capsules
- Telomere Boostup Capsules
Product Description
1. Kanchnaar Guggul
Kanchnaar Guggul is a classical ayurvedic medicine for uncontrolled growths, cysts and tumors. The main ingredients are Kanchnaar (Buhinia variegata), Guggul (Commiphora mukul), Amalaki (Emblica officinalis), Haritaki (Terminalia chebula), Bibhitaki (Terminalia belleria), varuna (Crataeva nurvala), Pippali (Piper longum) and others. The herbs possess anti-inflammatory, anti tumor and antioxidants properties. Kanchnaar specifically contains tumor reducing actions. Other than this the formulation clears endotoxins accumulation in the body and balances the doshas. With its antiproliferative properties, Kanchnaar guggul is one of best ayurvedic medicines for Ameloblastoma.
Dosage : Two tablets twice a day.
2. Boswellia Curcumin
Boswellia Curcumin Capsules of Planet Ayurveda contain the goodness of Shallaki (Boswellia serrata) and Haridra (Curcuma longa). Both are renowned for their potent anti-inflammatory and antioxidant properties, which help reduce chronic inflammation and oxidative stress around abnormal tissue growth. By modulating inflammatory pathways such as NF-κB and 5-lipoxygenase, it helps lower local pro-inflammatory mediators that may contribute to tissue irritation and proliferation. Additionally, these herbs support cellular regulatory mechanisms, including apoptosis and tissue metabolism. The mentioned actions makes it a useful adjunct in the management of Ameloblastoma.
Dosage : One capsule twice a day.
3. Crab Go Capsules
Crab Go Capsules are a product of Planet Ayurveda. The capsules contain anti proliferative herbs namely Ashwagandha (Withania somnifera), Shatavari (Asparagus racemosus), Haridra (Curcuma longa), Tulsi (Ocimum sanctum), Giloy (Tinospora cordifolia) and others. The herbs are rich in withanolides, saponins, curcuminoids, and other bioactive compounds which exhibit anti-inflammatory, antioxidant, and cytoprotective properties that help reduce the production of harmful free radicals and associated oxidative stress in tissues. These properties support the body’s ability to maintain healthier cellular environments and modulate inflammatory responses around abnormal growths. This makes Crab Go Capsules a needful remedy in managing Ameloblastoma.
Dosage : Two capsules twice a day.
4. Crab Baccata Capsules
Crab Baccata Capsules capsules are formulated from a standardized extract of Thuner (Taxus baccata), a herb recognized for its anti-inflammatory properties and ability to assist with chronic abnormal growths in the body by balancing altered tissue conditions and supporting healthy cellular processes. The bark of Taxus baccata contains the bioactive compound paclitaxel (taxol), which is known to influence microtubule dynamics and support controlled cell division and apoptosis (programmed cell death), helping to limit excessive or aberrant cell proliferation in pathological tissues. This cytotoxic action, combined with its capacity to reduce local inflammation and promote antioxidant protection, may help create a more balanced tissue environment around lesions. Hence, these capsules work well in the management of Ameloblastoma.
Dosage : One capsule twice a day.
5. Telomere Boostup Capsules
Telomere Boostup is a Planet Ayurveda’s capsule formulation that provides help in the management of Ameloblastoma. The formulation contains herbs like Giloy (Tinospora cordifolia), Ashwagandha (Withania somnifera), Grape seed (Vitis vinifera), Amla (Emblica officinalis), and Moringa, which are known for their rasayana (rejuvenative), anti-oxidant, and cellular balancing properties. These herbs help strengthen cellular resilience, modulate immune responses, and reduce oxidative stress, thereby supporting the correction of cellular imbalances. The formulation checks the beej dushti (genetic error) of the diseases and undo the triggers that may influence the disease to manifest. The very name of the formulation reflects its positive impact on the genetic level.
Dosage : One capsule twice a day.
Conclusion
Ameloblastoma, although benign in nature, demands timely and comprehensive management due to its locally aggressive behavior and high recurrence potential. Contemporary medical science emphasizes accurate diagnosis and surgical intervention as the primary line of treatment, while Ayurveda provides a deeper understanding of the disease by addressing its root cause. From an Ayurvedic standpoint, Ameloblastoma can be correlated with Beej Dushti, where genetic or cellular imbalance, along with aggravated doshas and impaired tissue metabolism, leads to abnormal growth in the jaw region, classified under Dantmoolgata Roga. Ayurvedic management focuses on correcting these underlying imbalances through detoxification therapies, dosha pacification, rejuvenation, and supportive herbal interventions. When used alongside modern treatment, such integrative care may help reduce inflammation, regulate abnormal cell proliferation, enhance tissue healing, and support overall recovery, thereby improving long-term outcomes and quality of life for affected individuals. Planet Ayurveda’s above mentioned products are quite effective in the management of the disease.


